ނޭވާލާ ނިޒާމަށް ޖެހޭ ނުރައްކާތެރި ބައްޔެއް ފެތުރެނީ

ނޭވާލާ ނިޒާމަށް ޖެހޭ މިބަލިން ބޮޑަށް ނުރައްކާވަނީ ތުއްތުކުދިންނަށާއި ދުވަސްވީ މީހުންނަށް

ސެޕްޓެންބަރު 26, 2024 - 02:51
 0
ނޭވާލާ ނިޒާމަށް ޖެހޭ ނުރައްކާތެރި ބައްޔެއް ފެތުރެނީ
ނޭވާލާ ނިޒާމަށް ޖެހޭ ނުރައްކާތެރި ބައްޔެއް ފެތުރެނީ

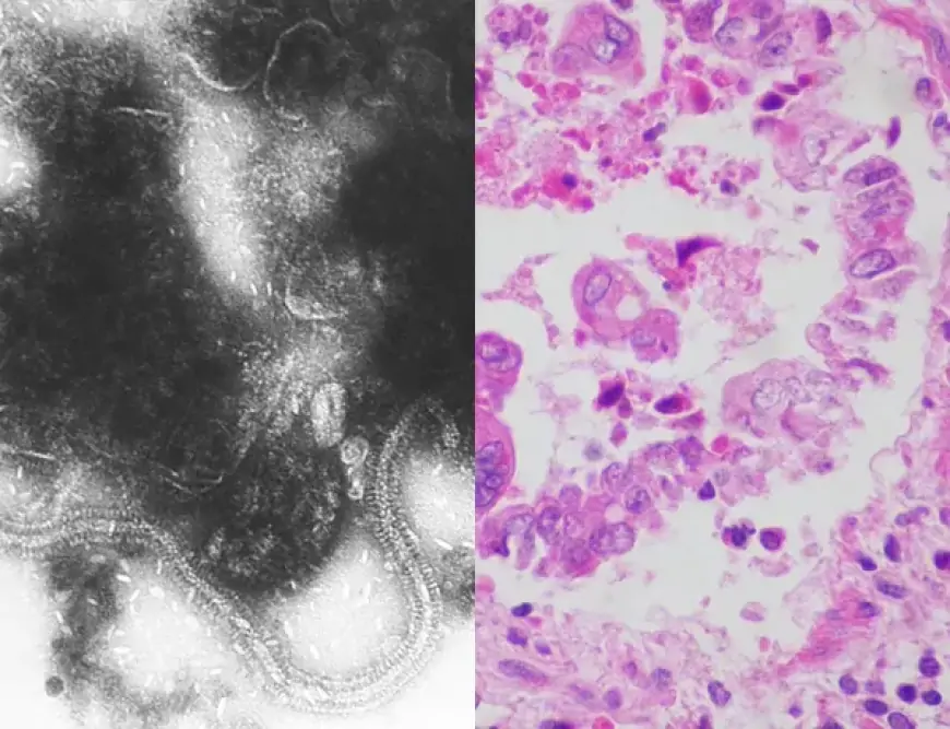
ނޭވާލާ ނިޒާމަށް ޖެހޭ ނުރައްކާތެރި ބައްޔެއްކަމަށްވާ ރެސްޕިރޭޓަރީ ސިންސިޓިއަލް ވައިރަސް (އާރްއެސްވީ) ކުޑަކުދިންގެ މެދުގައި އިތުރުވަމުންދާ ކަމަށް ހެލްތު ޕްރޮޓެކްޝަން އެޖެންސީ (އެޗްޕީއޭ) އިން ބުނެފިއެވެ.

މި ބަލި ޖެހިގެން ބޮޑުވަރުވެ (ބައެއްފަހަރަށް ފުރާނައަށް ނުރައްކާ ވަނީ) އާއްމުގޮތެއްގައި ތުއްތު ކުދިންނާއި އުމުރުން ދުވަސްވީ މީހުންނަށް ކަމުގައި ވީނަމަވެސް، ޅަފުރައިގެ ކުދިންނަށާއި ބޮޑަތިމީހުންނަށްވެސް މިބަލިޖެހިއްޖެނަމަ، ބައެއްފަރަށް ނުރައްކަލާއި ކުރިމަތި ކުރުވައެވެ.

މިބަލީގެ އަލާމާތްތައް ފެންނަނީ ބަލި ޖައްސުވާ ވައިރަސްއަށް ހައްޓަށް ވަނުމަށްފަހު 4/5 ދުވަސް ފަހުންނެވެ. ބަލީގެ އަލާމާތްތައް އެކި އުމުރުފުރާތަކުގައި ތަފާތުވީ ނަމަވެސް އާއްމު ގޮތެއްގައި ފުރަތަމަ ފެންނަ އަލާމާތްތަކުގެ ތެރޭގައި ރޯގާޖެހުމާއި، ކާހިތްނުވުމާއި، ކެއްސައި ކިނބިހި އެޅުމާއި ބައެއްފަހަރަށް ނޭވާ ހިއްލާގޮތްވެއެވެ. 

ތުއްތު ކުދިންނަށް މިބަލި ޖެހުމުން ހަރަކާތް މަދުވުމާއި، ނޭވާލާން އުނދަގޫވެ ނޭވާލާއިރު ހުއްޓުން އައުން ހިމެނެއެވެ. މިބައްޔަށް ސީދާ ފަރުވާއެއް ހޯދިފައި ނެތަސް މިފަދަ އަލާމާތްތައް ފެނިއްޖެނަމަ އަވަހަށް ޑަކްޓަރަކަށް ދެއްކުން މުހިއްމެވެ. އާއްމު ގޮތެއްގައި މިބަލި ފަސޭހަވާން 2 ހަފްތާވަރު ވެދާނެއެވެ.

ކޮވިޑް ފަދައިން މިބައްޔަކީވެސް ކައިރީގައި އުޅޭ މީހުންގެ ކިބައިން ގައިންގަޔަށް (އަނގަޔާއި ނޭފަތާއި ލޮލުން) ޖެހޭ ބައްޔެކެވެ.

މި ބަލި ފެތުރުން ހުއްޓުވުމަށް ރައްކާތެރިކަމުގެ ފިޔަވަޅުތައް އެޅުމުގެ ގޮތުން ކުރެވިދާނެ ކަންކަމުގެ ތެރޭގައި ގިނައިން އަތް ދޮވުމާއި، މީހުން ގިނަ ތަންތަނަށް ނުދިއުމަށް އެޗްޕީއޭ އިން އިލްތިމާސްކޮށްފައި ވެއެވެ. އަދި ބަލީގެ އަލާމާތްތައް ފާހަގަވުމުން އަނގަޔާއި ނޭފަތް ނިވާވާ ގޮތަށް މާސްކެއް އެޅުންވެސް އެދެވިގެން ވެއެވެ.